Splendora Family Dental

Blog

Dental hygiene tips for healthy teeth & gums

How Dental X-Rays Help Detect Hidden Oral Problems

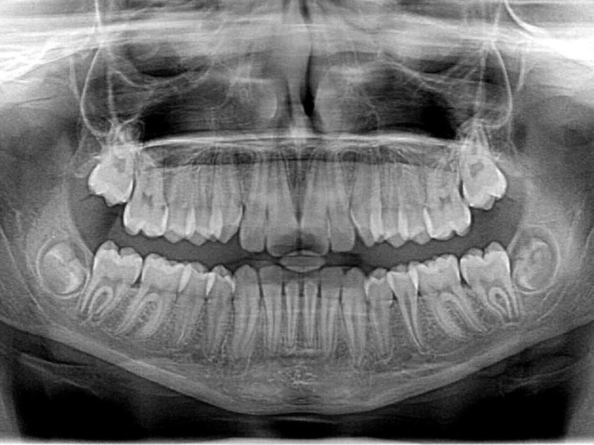
A quick look inside the mouth shows a lot. A mirror and a light reveal stains, broken teeth, and swollen gums. But some problems hide. They sit between teeth, or below the gum line, or under an old filling. Those are the places a clinician cannot see with the eye alone. That is where dental X-rays matter. A Splendora Dentist TX uses them as a routine tool. They give a quieter kind of vision. They show what is hidden, so care is planned with facts, not guesses.

Why Dental X-rays Are Part Of Regular Care

Most folks figure X-rays are only needed when there’s pain or a big problem showing up. The truth is different. X-rays help detect small problems long before they hurt. A tiny cavity between two back teeth appears early on an image. A shadow under a crown shows up before symptoms begin. Even the angle of a root, or a small bone loss next to a tooth, looks clear on a good X-ray.

A Splendora Dental Office TX screens with X-rays at intervals that fit each patient. Children, adults, and people with a history of decay may get images more often. The goal is simple. Spot trouble early, treat it simply, and avoid larger procedures later. That is why clinicians rely on images as much as on a careful visual exam.

How X-rays Detect Cavities No One Sees

Cavities that form between teeth hide from a brush and from the eye. They begin inside the contact area, where two teeth touch. An X-ray shows a small dark spot in that space. When clinicians catch that dark area early, a small filling often fixes it. That is a much easier visit than waiting until the cavity reaches the surface and the nerve.

Detecting decay early is practical medicine. For the patient, it means less time in the chair. For the clinician, it means predictable care. For a Splendora Dentist TX the image is the early warning light that helps plan a repair before the problem becomes painful.

Seeing Under Restorations And Crowns

Fillings, crowns, and old restorations sometimes wear or leak. A surface can look fine, yet beneath an old filling, bacteria may have started to decay. X-rays let the clinician see below the surface. They reveal dark lines under a restoration or gaps where cement has dissolved.

This kind of detection avoids surprises. Instead of removing a crown to find a bigger problem, the clinician often knows what to expect. That predictability keeps treatment calm and efficient and helps the patient understand why a restoration needs replacing.

Checking Roots And Bones

Dental problems don’t always start where you can see them. An infection can form near the root tip, or the bone supporting a tooth can slowly shrink. X-rays show changes in bone level and root shape that the eye can’t catch. A small area of bone loss appears as a faint shadow. The clinician notes it and decides whether to watch or act.

For a hurting tooth, an X-ray reveals a lot. It shows if an infection or a hidden crack is present and helps the team choose the safest, least invasive care.

Monitoring Growth In Children

Children need special attention because their mouths change fast. Teeth come in and move. Roots develop. An X-ray helps track these changes. For a Splendora Dentist TX an image shows whether adult teeth are coming in straight, or whether space is tight. It also reveals cavities that hide where baby teeth touch.

Monitoring growth with images keeps orthodontic surprises to a minimum. It helps time treatments so they work best. Parents often appreciate seeing that the adult teeth are following a good path, or learning early that a small intervention will prevent a bigger one later.

Finding Cysts, Unusual Growths, And Other Surprises

Rarely, an image shows something unexpected. A cyst or unusual spot near a root can look like a shadow on the X-ray. Most aren’t serious, but the dentist will monitor them to be sure. When something unusual appears, a Splendora Dental Office TX discusses options. Sometimes imaging alone is enough, sometimes a referral to a specialist is best.

The point is this. Without images, these silent issues can grow unnoticed for years. With them, clinicians spot seeds early and follow them closely.

How Modern X-rays Keep The Dose Low

Many people worry about radiation. That concern makes sense. The good news is that X-ray technology has improved. Digital sensors need much less radiation than old film. Clinicians use small, focused shots rather than wide beams. They follow a principle of using the least amount of radiation needed to answer the question.

A Splendora Dentist TX explains the safety measures clearly. They justify each image. They do not take images for habit alone, but they also do not skip images when a clear view is necessary. That balanced approach protects patients while keeping care precise.

Timing And Frequency That Fit The Patient

Not everyone needs the same image schedule. A child with past cavities, a person with dry mouth, and someone with a complex restoration each may need images more often. A low-risk adult with strong home care may go longer between sets. The clinician sets the rhythm based on history, habits, and symptoms.

How X-rays Guide Treatment Choices

An image is not a final order. It is a piece of evidence. The clinician combines the X-ray with a hands-on exam and with the patient conversation. Sometimes the image suggests a quick filling. Other times it points to a more cautious approach, such as watching or using preventive steps. For those with recurring problems, an image helps decide whether to offer a local medicine, a deep clean, or a restorative plan.

Patients often feel better when they see the image. It makes the problem real, and it makes the plan sensible. A Splendora Dentist TX uses images to build trust and to explain options plainly.

Conclusion

Dental X-rays reveal what the eye cannot. They find hidden cavities early. They show trouble under restorations, and they reveal bone changes and root issues before pain begins. A trusted Splendora Dentist TX uses them as one clear tool among many. When used wisely, images let clinicians prevent larger problems, choose gentler care, and keep patients informed.

If someone worries about a tooth, or if it has been a while since the last set of images, a short check at a Splendora Dental Office TX can show whether a small issue lurks unseen. Early detection often means simpler care and quieter days ahead.

Call to Action

If a tooth feels different, or if it has been some time since dental images, call a trusted Splendora Dentist TX. The Splendora Dental Office TX team will explain the importance of dental X-rays, take the right images for the situation, and walk through clear options so any hidden problems are found and managed early.