Dental hygiene tips for healthy teeth & gums

When the word x-ray comes up, many people think of hospitals, broken bones, or emergencies. In dentistry, it is different. X-rays are not only for urgent problems. They are part of routine care. At a Splendora Dental Office TX, many patients ask if they really need annual dental X-rays. Some even wonder if it is just another extra step. It is a valid question.
A Splendora Dentist TX explains that X-rays are more than pictures. They reveal what the eye can’t catch. A dentist checks gums, enamel, and bite by looking directly. But some issues hide. Cavities may grow between teeth. Gum disease may start under the bone. Even infections can linger quietly. Without images, these remain out of sight.
Annual dental X-rays are like a yearly safety check. Just as cars need inspections to prevent breakdowns, teeth also benefit from regular imaging. A dentist can catch early cavities before they cause pain. They can track changes in bone health. They can see if wisdom teeth are shifting.
The idea is prevention. A Splendora Dentist TX prefers to act early. A filling today is simpler than a root canal tomorrow. Research supports this view. When problems are spotted in their early stage, treatment is quicker and less invasive.
Studies on dental X-rays show a pattern. Children often need them more often. Their teeth shift, jaws grow, and cavities develop fast. Adults with low risk might need them less. But for the average patient, one set each year is a reasonable balance.
Researchers have compared groups with annual dental X-rays and those with longer gaps. The first group often had fewer major procedures later on. Why? Because issues were caught while still small. A Splendora Dental Office TX follows this model. The goal is not more X-rays but better timing.
Radiation is often the biggest concern. People hear the word and worry. The truth is, modern dental X-rays use very low doses. Digital imaging has replaced older machines in most offices. The amount of radiation from annual dental X-rays is tiny. It is often less than what a person gets from flying on an airplane or from daily background exposure.
At a Splendora Dental Office TX, safety comes first. Lead aprons are provided. The machines are tested. The risk is extremely low. A Splendora Dentist TX, only suggests X-rays when the benefit is much greater than the small risk.
It may feel unnecessary to take X-rays when teeth look fine. But problems often hide. Cavities can grow between molars. Early gum disease can eat away bone. Infections can sit under fillings or crowns. Cysts and other unusual growths may stay hidden unless an X-ray is taken.
Without annual dental X-rays, these issues may stay hidden until they cause pain or damage. By that point, treatment is harder. The research is clear. Early detection reduces long-term dental problems.
Patients sometimes decline X-rays. Maybe they feel healthy. Maybe they want to save money. Sometimes, nothing happens right away. But there is a risk. A small cavity can spread. Bone loss can worsen. Old dental work can weaken underneath.
For seniors, skipping X-rays can be even riskier. As we age, enamel wears down and gums pull back. Old crowns or bridges can fail quietly. Annual dental X-rays let a Splendora Dentist TX catch those changes before they turn into emergencies.
Annual dental X-rays also play a role when treatment is needed. For example, before placing a filling, a dentist checks the exact size of the decay. Before a root canal, X-rays show the roots and infection depth. Before orthodontics, they guided tooth movement.
At a Splendora Dental Office TX, X-rays are not taken just for records. They shape real treatment decisions. Without them, dentistry would involve more guesswork. Patients deserve accuracy, and imaging provides it.
The word annual doesn’t mean the same for everyone. Some patients need them sooner. Others can wait longer. A Splendora Dentist TX looks at several factors:
Dental X-rays frequency depends on these details. A child may need them every six months. An adult with strong teeth may stretch to every two years. Still, once a year remains the most common schedule. It fits the needs of most people.
Many forget that gum disease is silent at first. On the surface, gums might seem normal. Beneath, though, the bone can quietly start to shrink. X-rays show the hidden loss. Catching it early allows treatment. Left unseen, gum disease can lead to tooth loss.
This is one of the biggest reasons annual dental X-rays are recommended at a Splendora Dental Office TX. Gum disease is common but preventable with the right timing of care.
It is natural to be nervous. Nobody really enjoys the chair, the little sensor in the mouth, or that buzzing sound. But once patients see the results, relief often follows. Knowing the dentist has checked everything offers peace of mind.
A Splendora Dentist TX understands this. They do not order images without reason. They use them to protect both teeth and confidence.
Another worry is cost. Insurance usually covers routine X-rays, but not always. Patients sometimes delay because of expenses. Yet skipping X-rays can lead to higher bills later. A small cavity caught early might cost less than a larger filling or crown.
A Splendora Dental Office TX, often reminds patients of this trade-off. Prevention usually costs less than repair. Annual dental X-rays are part of that prevention.
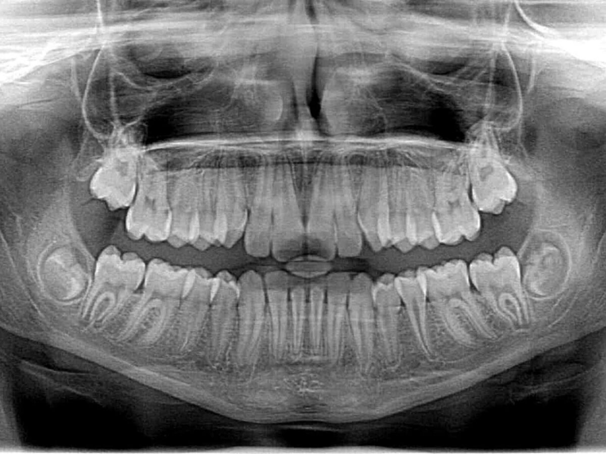
Dental imaging has improved greatly. Modern tools provide sharper images with less radiation. Some Splendora Dental Office TX now use digital panoramic X-rays to show the entire mouth in one image. This helps dentists see overall patterns, not just one tooth.
The technology continues to move forward. What this really brings is extra safety for patients, better detail for the dentist, and less discomfort overall.
Do you really need dental X-rays every year? For most people, the answer is yes. They pick up on small issues before they grow. That helps stop pain, protects your health over time, and saves you from bigger costs.
Everyone’s dental X-ray frequency is a little different. It depends on your history, your risks, and your needs. That’s why meeting with a Splendora Dentist TX is so important. They will guide you toward a plan that fits.
At the end of the day, one short visit to a Splendora Dental Office TX for annual dental X-rays may save years of dental trouble. It is a small step with a big impact.